La chirurgie orale est un domaine de la dentisterie qui englobe une variété de procédures destinées à traiter les affections bucco-dentaires complexes. Qu’il s’agisse d’extractions dentaires, de greffes osseuses ou de la pose d’implant dentaire, ces interventions sont aujourd’hui réalisées avec des techniques modernes qui maximisent le confort du patient et garantissent des résultats durables. …
La chirurgie orale est un domaine de la dentisterie qui englobe une variété de procédures destinées à traiter les affections bucco-dentaires complexes. Qu’il s’agisse d’extractions dentaires, de greffes osseuses ou de la pose d’implant dentaire, ces interventions sont aujourd’hui réalisées avec des techniques modernes qui maximisent le confort du patient et garantissent des résultats durables.
La pose d’un implant dentaire, en particulier, est une solution fiable et durable pour remplacer une ou plusieurs dents manquantes. Cependant, sa réussite ne dépend pas uniquement de l’acte chirurgical lui-même, mais d’un protocole global, fondé sur une planification rigoureuse, une évaluation clinique et médicale approfondie, et l’utilisation d’outils numériques de haute précision.
Chaque prise en charge implantaire doit ainsi s’appuyer sur les données scientifiques les plus récentes, tout en intégrant les technologies actuelles comme l’imagerie 3D (Cone Beam), l’empreinte optique, et la planification assistée par ordinateur.
Cet article présente, étape par étape, le parcours clinique d’un traitement implantaire moderne, depuis l’évaluation initiale jusqu’au suivi post-opératoire.
- Anamnèse et évaluation initiale
La première consultation vise à établir un bilan global du patient, indispensable pour évaluer l’indication implantaire et anticiper d’éventuelles contre-indications. Cette étape repose sur une anamnèse médicale et dentaire approfondie, un examen clinique complet, et des examens complémentaires standardisés.
L’entretien permet de recueillir des informations essentielles sur :
- l’état de santé général du patient (maladies chroniques, diabète, ostéoporose, affections cardiovasculaires…) ;
- es traitements en cours (anticoagulants, biphosphonates, immunosuppresseurs…) ;
- les antécédents chirurgicaux et dentaires ;
- les habitudes de vie pouvant influencer la cicatrisation, notamment le tabagisme, qui constitue un facteur de risque bien documenté.
Le praticien procède également à un examen bucco-dentaire complet, en évaluant :
- la santé du parodonte (gencives, tissus de soutien) : présence d’inflammation, poches, récessions, mobilité dentaire ;
- la qualité de l’hygiène bucco-dentaire et la motivation du patient ;
- l’espace disponible pour la future restauration prothétique (hauteur, largeur, occlusion).
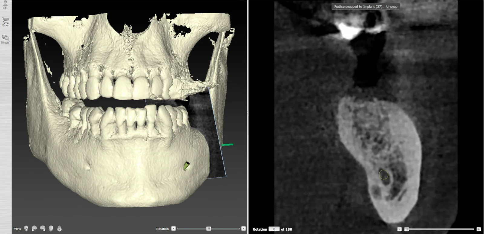
Un Cone Beam 3D est systématiquement réalisé pour analyser avec précision la quantité et la qualité osseuse disponible au site implantaire, ainsi que pour repérer les structures anatomiques à respecter (nerf alvéolaire inférieur, sinus maxillaire, etc.).

Une empreinte optique est également effectuée. Elle permet :
- de visualiser avec précision le relief gingival et d’identifier les zones nécessitant éventuellement une greffe de gencive ;
- d’évaluer les rapports occlusaux en vue de la future restauration prothétique ;
- d’alimenter la planification numérique en superposant les données optiques au volume osseux issu du Cone Beam.






L’ensemble de ces données permet ensuite de réaliser une planification implantaire précise, fondée sur une analyse tridimensionnelle croisée des tissus durs et mous, et tenant compte des exigences prothétiques.
Cette approche rigoureuse permet d’anticiper chaque étape du traitement, d’offrir au patient une vision claire et réaliste du plan de soin envisagé, et de garantir des soins personnalisés, précis et transparents, construits en amont avec exigence et clarté.

2. Planification numérique et décision thérapeutique
À partir des données recueillies lors de la première consultation ( Cone Beam 3D, empreinte optique, examen clinique et anamnèse médicale ) une planification implantaire tridimensionnelle est réalisée à l’aide de logiciels spécialisés.
Cette étape permet de :
- Positionner virtuellement l’implant de manière idéale, en respectant à la fois les contraintes anatomiques (canal mandibulaire, sinus, racines adjacentes, structures nerveuses) et les contraintes prothétiques (axe d’émergence, espace disponible, équilibre occlusal, esthétique) ;
- Anticiper la forme et le volume de la future restauration prothétique pour garantir une intégration à la fois fonctionnelle et harmonieuse ;
- Évaluer la nécessité de procédures complémentaires, telles qu’une greffe osseuse, une régénération osseuse guidée ou une greffe de tissu gingival, lorsque les conditions locales le justifient.
Cette planification rigoureuse permet également de définir :
- le type d’implant (longueur, diamètre, design),
- la séquence chirurgicale adaptée,
- la profondeur et l’angulation de l’insertion,
- ainsi que les modalités de temporisation prothétique (mise en charge immédiate ou différée selon les cas).
L’ensemble de ces éléments est ensuite synthétisé dans un plan de traitement personnalisé, qui est présenté et discuté avec le patient. Celui-ci est informé de manière claire et transparente :
- des différentes étapes prévues,
- des éventuelles interventions préparatoires,
- des délais de cicatrisation,
- des précautions post-opératoires,
- et des alternatives possibles, le cas échéant.
Lorsque les conditions cliniques le permettent, le chirurgien peut recourir à une chirurgie guidée, reposant sur l’utilisation d’une gouttière de guidage statique imprimée en 3D ou d’un système de guidage chirurgical dynamique. Ces dispositifs contribuent à améliorer la précision du geste opératoire, à minimiser les traumatismes chirurgicaux, et à réduire les suites post-opératoires, tout en renforçant la sécurité du patient.
3. Intervention chirurgicale et suites post-opératoires
L’intervention chirurgicale est programmée une fois la planification validée avec le patient. Elle se déroule sous anesthésie locale, dans des conditions d’asepsie rigoureuse, selon un protocole précis et personnalisé.
La pose de l’implant peut être réalisée :
- À l’aide d’un guidage statique, lorsque la planification est transférée par un guide chirurgical imprimé en 3D, positionné directement en bouche. Ce guide, conçu à partir de l’empreinte optique et du Cone Beam, permet de guider les instruments selon l’axe prévu, avec une grande précision.
- Ou à l’aide d’un guidage dynamique, grâce à un système de navigation chirurgicale assistée par ordinateur. Dans ce cas, la planification implantaire rigoureuse effectuée en amont est transposée en temps réel dans la bouche du patient. Le système permet de suivre sur un écran, en direct, le positionnement spatial exact des instruments dans les structures anatomiques du patient, comme si l’on disposait d’un GPS chirurgical.

Ce dispositif permet de localiser avec précision non seulement l’os disponible, mais aussi les structures critiques telles que le nerf alvéolaire inférieur, le sinus maxillaire ou les racines des dents voisines, assurant une pose plus sûre, plus précise et conforme au projet prothétique.
Il permet également de réaliser certaines interventions complexes, comme des sinus lifts par voie crestale, qui consistent à élever délicatement la membrane sinusienne afin de pouvoir poser un implant dans des zones où la hauteur osseuse est réduite, tout en évitant une chirurgie plus invasive.
Selon le contexte clinique, une chirurgie minimement invasive, sans décollement de gencive (technique dite “flapless”), peut être envisagée pour améliorer le confort post-opératoire. Dans d’autres cas, une chirurgie ouverte est nécessaire, notamment lorsqu’une greffe osseuse ou tissulaire est associée.
L’implant est inséré en respectant précisément les paramètres définis lors de la planification (axe, profondeur, stabilité). Une mise en charge immédiate peut parfois être envisagée, sinon une période de cicatrisation est respectée avant de passer à la phase prothétique.
Suivi post-opératoire
Les soins post-opératoires font partie intégrante du succès du traitement implantaire. Une gestion appropriée de la douleur et de l’inflammation est assurée grâce à une médication adaptée et, si nécessaire, à l’application de froid local.
Après l’intervention, le chirurgien remet au patient des consignes post-opératoires personnalisées, qui devront être suivies de manière rigoureuse et consciencieuse afin de favoriser une cicatrisation optimale et de prévenir toute complication.
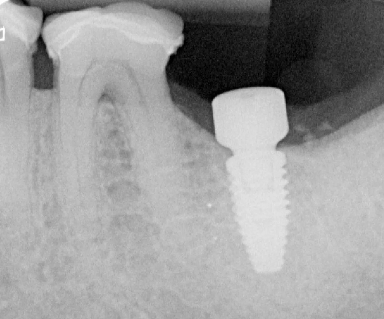
Un suivi clinique est ensuite assuré 4 mois après la pose de l’implant pour évaluer l’évolution, valider l’ostéointégration et planifier la suite du traitement prothétique.

4. Phase prothétique
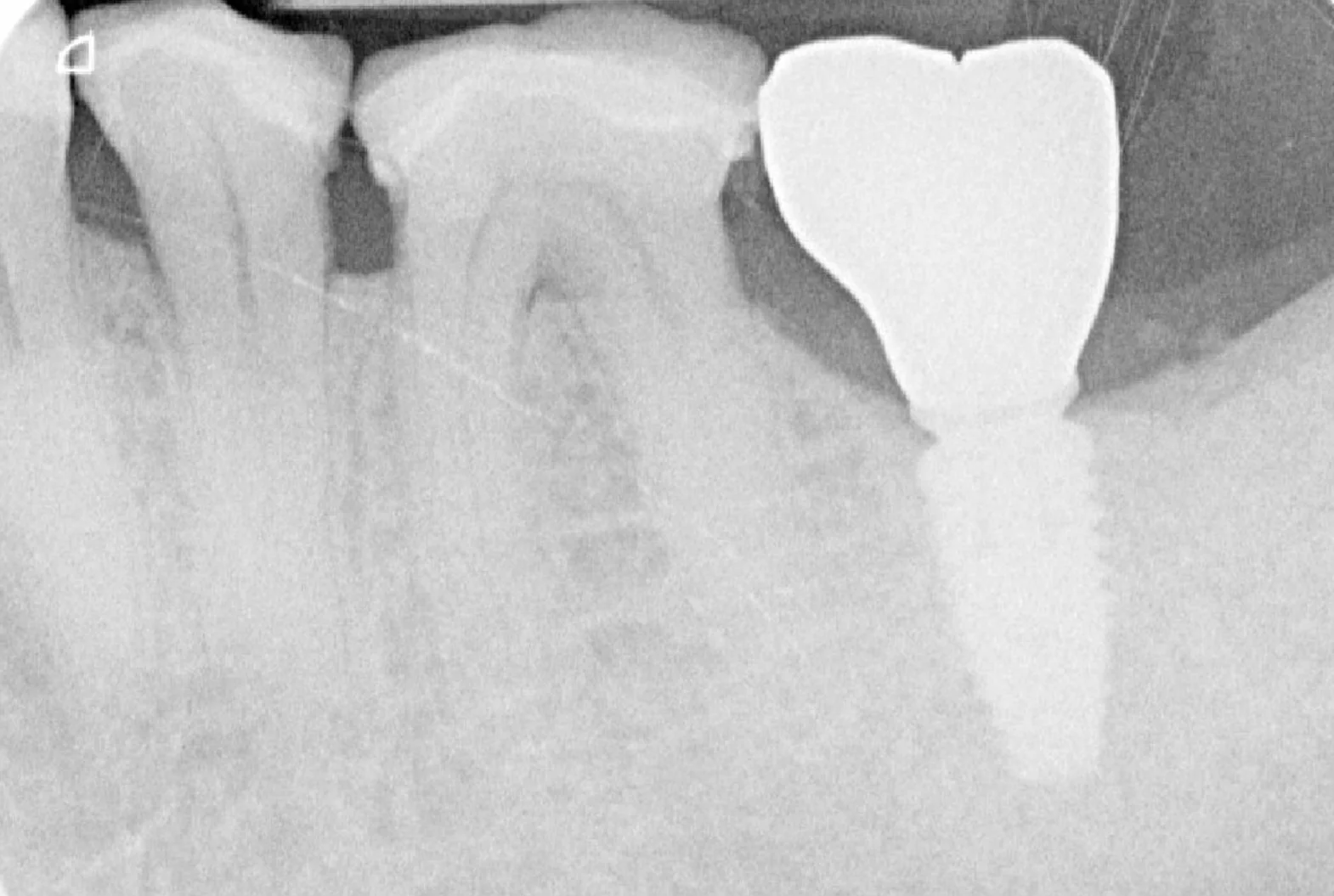
Une fois l’ostéointégration confirmée, la phase prothétique peut débuter. Cette étape consiste à réaliser la ou les couronnes implantaires qui viendront se fixer sur les implants intégrés dans l’os.
La première étape consiste à prendre une empreinte optique ou physique de la zone afin de modéliser avec précision la position de l’implant, la forme de la gencive et l’occlusion. La technique d’empreinte optique, réalisée sans matériau de moulage, est plus confortable pour le patient et permet une transmission numérique directe au laboratoire, accélérant ainsi les délais de fabrication prothétique.
Les données numériques sont ensuite transmises au prothésiste, qui conçoit une prothèse sur-mesure, tant sur le plan fonctionnel qu’esthétique, en tenant compte de la couleur des dents naturelles, de la dynamique occlusale et du projet global du patient.
Une fois la prothèse réalisée, elle est fixée sur l’implant par vissage ou par scellement, selon les indications cliniques. Le résultat final vise à restaurer non seulement la fonction masticatoire, mais aussi l’harmonie du sourire.


Conclusion
La pose d’un implant dentaire s’inscrit aujourd’hui dans une approche globale, rigoureuse et interdisciplinaire. Elle repose sur une évaluation clinique et médicale approfondie, l’intégration d’outils technologiques avancés (imagerie 3D, empreinte optique, planification numérique, guidage chirurgical), et le respect de protocoles fondés sur les données scientifiques les plus récentes.
Chaque étape ( du diagnostic initial à la phase prothétique ) est pensée pour garantir une prise en charge précise, personnalisée et coordonnée entre le chirurgien-dentiste, le dentiste référent, le médecin traitant et le prothésiste. L’objectif est d’assurer une restauration bucco-dentaire stable, prédictible, fonctionnelle et esthétique, en tenant compte de la santé globale du patient.
Que l’on soit professionnel de santé ou patient, comprendre les enjeux et le déroulement d’un traitement implantaire permet de s’engager dans cette démarche en toute confiance, avec un objectif commun : une restauration bucco-dentaire esthétique stable, prédictible et respectueuse de la santé globale du patient.





